Posts Tagged ‘metatarsal’
Stress Fractures – The Facts
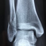
Stress fractures – The facts Stress fractures occur when there is a small hairline crack in the bone, usually in the lower limb. Common sites are the foot and shin, or tibia. Unlike common fractures, which are caused by a sudden impact, stress fractures are caused by overuse and are therefore most common in athletes…
Read More
Active Podiatry - Podiatry in Kent for Runners & Active People